Le laboratoire ProDental Inc. offre une vaste gamme de produits pour répondre au besoin de vos patients
Zircon
Prothèse de nouvelle génération et solution de restauration dentaire
Nos types principaux de restaurations comprennent les incrustations, les facettes, les couronnes et les ponts. Pour fournir à nos clients des produits de haute qualité, nous nous appuyons sur notre expérience pour concevoir des prothèses adaptées à des spécifications précises telles que la couleur, la forme, le contour et la texture de la surface.
Nos types principaux de restaurations comprennent les incrustations, les facettes, les couronnes et les ponts. Pour fournir à nos clients des produits de haute qualité, nous nous appuyons sur notre expérience pour concevoir des prothèses adaptées à des spécifications précises telles que la couleur, la forme, le contour et la texture de la surface.
Full Zircon
Notre installation à la fine pointe de la technologie est équipée de tout l'équipement et des ressources dont nous avons besoin pour créer des restaurations personnalisées. La qualité de nos produits explique notre popularité dans l'industrie dentaire
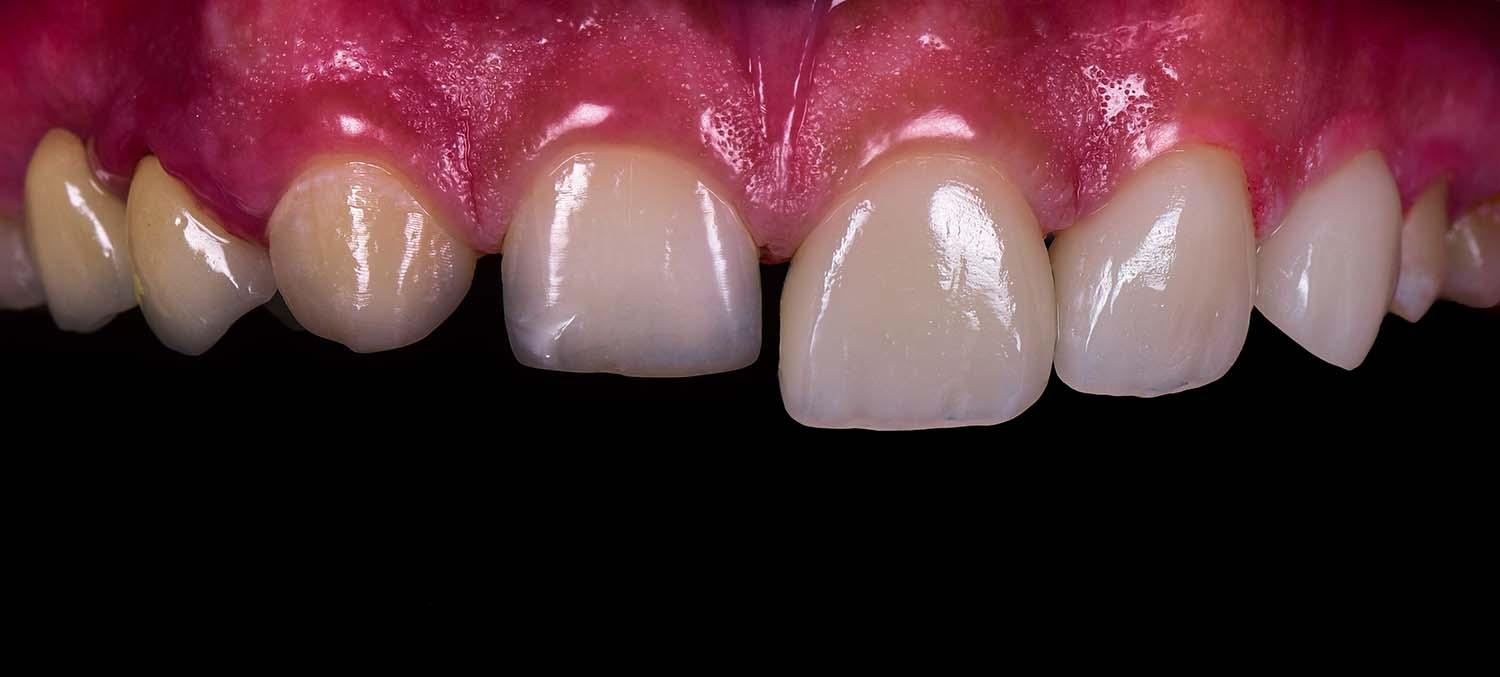
Couronne Céramo-Métal
Les couronnes conventionnelles ou la technique PoM (Press on Metal) qui nous permet une restauration précise, esthétique et fonctionnelle. Aussi, la gencive repose contre la surface céramique homogène pressée.
Nous utilisons la technologie CAD-CAM pour usiné notre métal:
- Adaptation microscopique passive
- Métal homogène sans porosité
- Tous les petits détails sont examinés afin de vous offrir un produit hors pair
Incrustation porcelaine
Nous fournissons une restauration dentaire de haute qualité qui s'adapte précisément et fonctionne de manière optimale.
Maryland et Pont Californien
Découvrez notre large gamme de solutions prothétiques fixes
Avantages:
- Restoration parfaitement ajustées
- Traitement efficace
- Aspect esthétiques
- Meilleure garantie
Facette
Avec plus d'une décennie d'expérience dans la création de restaurations personnalisées pour les patients ayant des problèmes dentaires et faciaux, nous assurons le plus haut niveau de qualité à chaque étape de la fabrication. Cela comprend la capture de la recette parfaite pour une prothèse d'aspect naturel en termes de couleur, de forme, de contour et de texture de surface.
Nous mettons également à jour continuellement nos techniques et renouvelons nos équipements pour livrer des produits innovants et de qualité. Notre objectif est de répondre aux attentes des spécialistes dans le domaine de la dentisterie esthétique et reconstructive.
Smile Design
Nous sommes équipés du scanner 3Shape qui fournit une nouvelle solution puissante pour la création très rapide et facile de conceptions de sourire numériques - avec une simulation photo réaliste pour montrer au patient.










